
Design Your Perfect Smile with a Custom Smile Makeover
Smile Makeovers combine advanced cosmetic dentistry treatments such as porcelain veneers, E-max veneers, and E-max crowns to completely transform the shape, color, and symmetry of your smile.
At Smile Center, prosthodontist Dr. Iram Verdugo specializes in precision cosmetic dentistry, carefully designing each smile makeover with a perfectionist approach to achieve natural, balanced, and long-lasting results.

"My experience with transforming my smile has been nothing short of amazing."
What Is a Smile Makeover?
Smile Makeovers are designed to completely transform your smile using advanced cosmetic treatments such as veneers, zirconia crowns, whitening, and smile design techniques. These treatments improve the color, shape, size, and alignment of your teeth to create a brighter, more balanced smile.
A personalized smile makeover not only improves how your smile looks but also boosts confidence in everyday life. Our specialists carefully design each case to achieve natural, harmonious results that enhance your appearance while maintaining comfort and long-lasting durability.
Full smile transformations often include 6–20 veneers or crowns depending on your case.**

Expert in Smile Makeovers. Respected. Reliable. Precise.
With Our Prosthodontist Iram’s expertise in cosmetic and restorative work, patients receive comprehensive care focused on both function and aesthetics. Their collaborative approach ensures every treatment plan is custom, personalized, and built to last.
A Life-Changing Smile Transformation!
Restoring Function, Strength, and a Natural-Looking Smile:
This patient suffered from severe tooth wear that affected both chewing ability and the appearance of their smile. Through a comprehensive full-mouth rehabilitation with 25+ custom zirconia crowns, we rebuilt the teeth to restore proper bite function, durability, and a natural aesthetic—giving the patient a healthier, stronger, and more confident smile.
Done January 2026 by: Prosthodontist Iram Verdugo



Candidacy for Full-Mouth Rehabilitation
Full-mouth rehabilitation (or reconstruction) isn’t just cosmetic it’s a comprehensive approach to restore function, health, and aesthetics. Ideal candidates often present with complex or widespread dental issues.
Ideal Candidates Commonly:
Have multiple concerns across the entire mouth
Want to restore both function and aesthetics
Are In stable general health and can undergo multiple treatments
Are commited to maintain long term oral health
Have the time for possibly multiple visits/phases
Not Ideal (or may need prep first)
Patients with uncontrolled medical conditions
Active Periodontal Infection
Poor oral hygiene or low maintenance
Unrealistic expectations
Non compliance to after care
Our office knows no office hours! Send us your message at any time.
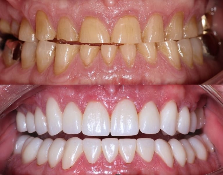
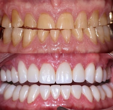
A Custom Smile Makeover Can Completely Transform Your Smile
Many patients feel unhappy with aspects of their smile such as worn teeth, discoloration, uneven shapes, gaps, or teeth that appear too small or misaligned. A personalized smile makeover can address these concerns using treatments like E-max veneers, porcelain veneers, and E-max crowns to restore balance, brightness, and symmetry.


Many patients feel unhappy with aspects of their smile such as worn teeth, discoloration, uneven shapes, gaps, or teeth that appear too small or misaligned. A personalized smile makeover can address these concerns using treatments like E-max veneers, porcelain veneers, and E-max crowns to restore balance, brightness, and symmetry.
By carefully designing the size, shape, and color of each tooth, cosmetic dentistry can dramatically improve the overall harmony of your smile while maintaining a natural appearance. At Smile Center, prosthodontist Dr. Iram Verdugo specializes in detailed smile transformations, creating results that look natural, feel comfortable, and restore confidence.

Request a free virtual consultation
Speak with our dentist and patient coordinator one-on-one. We’ll answer all your questions, explain treatment timelines, and go over pricing and accommodations.
Benefits of Dental with Smile Center In Los Algodones
Dental crowns can last up to 15 years with the correct maintnance/care. We use only the best of material when It comes to your permanent crowns, ensuring a quality, long lasting soliution to your dental needs.


Longevity
Own lab


Having our own lab allows us to over see the entire process of each of the crowns. Delivering quality results you can trust. Also all our work Is guaranteed, our zirconium crowns/bridges have a 7 year warranty.


Leading education
Our cosmetic specialist has 16 years of experience and attends every workshop/conference available to make sure his skills are up to par. Ensuring quality long lasting solutions for your dental needs.

Send Us Your Case for a Professional Evaluation
Upload X-rays, treatment plans, or smile photos for our team to review. Our experienced dentists will evaluate your case and send you a personalized treatment overview, including recommendations, cost estimates, and travel information to help you plan your visit with confidence.
Quality and affordable care you can trust!
Transforming your dental experience in Los Algodones, Mexico. Backed by 16+ years of experience!
Monday-friday 08:00am to 04:00pm az time
928-554-3052
© 2025. All rights reserved.
Contact us!
Saturdays 08:00am to 02:00pm az time
sundays: closed
HOURS OF OPERATION:
